Ezen az oldalon kezeléseink előtt és után készült fotókat láthat, melyeket rövid magyarázó szöveggel láttunk el.
Ezek az esettanulmányok betegeink beleegyezésével készültek és azért lettek publikálva, hogy láthatóvá váljon, milyen alapos, precíz, klassz, tuti munkát végzünk.
Páciensünk felső front fogai rossz állapotban voltak, elszíneződtek. Cirkón koronákkal helyreállítottuk a fogsor esztétikáját és funkcióját.
Ugyanazon páciens kezelése oldalnézetből. Látható a cirkón koronák természetes illeszkedése és esztétikája.
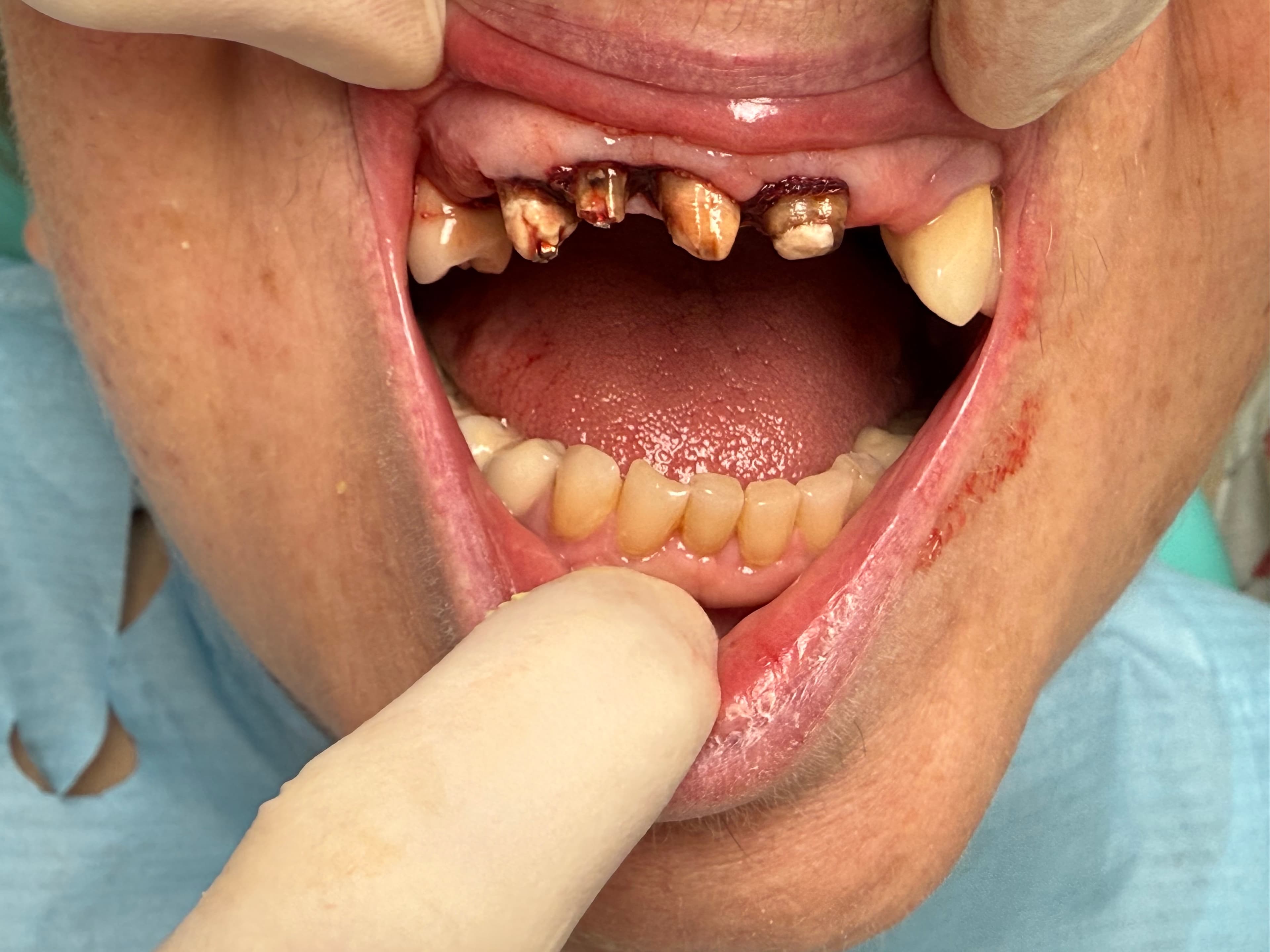
Páciensünk felső fogai nagyon rossz állapotban voltak, több fog hiányzott. Teljes felső fogsor pótlást készítettünk számára.

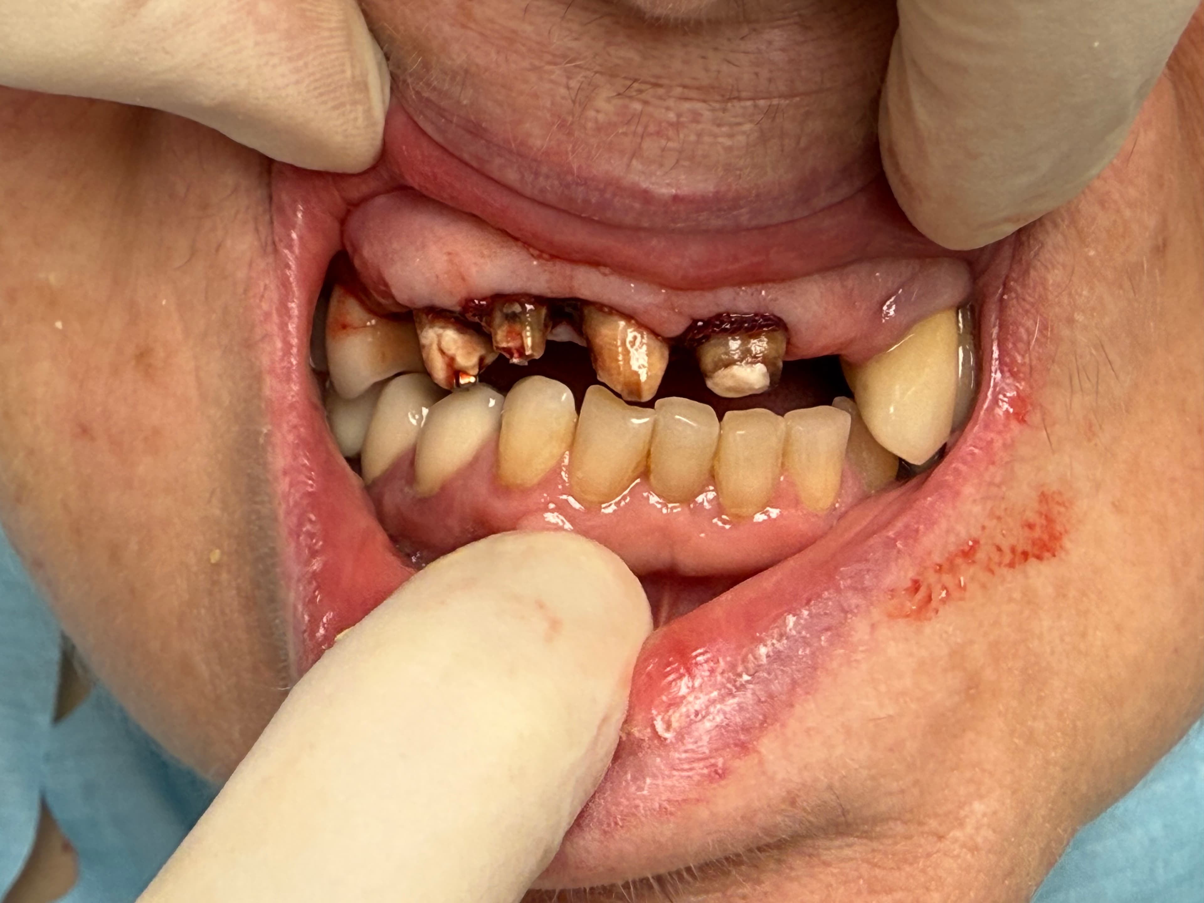
Ugyanazon páciens kezelése részletesebb nézetből. Látható a fogpótlás precíz illeszkedése és természetes megjelenése.

Hölgy páciensünk felső front fogai elszíneződtek és egyenetlenek voltak. Esztétikus fogpótlással helyreállítottuk mosolyát.
Hölgy páciensünk felső front fogai kopottak és elszíneződtek voltak. Cirkón koronákkal helyreállítottuk a fogsor esztétikáját.
Páciensünk fogai hiányosak és rossz állapotban voltak. Teljes felső fogsor pótlással helyreállítottuk a rágófunkciót és az esztétikát.
Páciensünk fogai nagyon rossz állapotban voltak. Teljes felső-alsó fogsor pótlással komplex rehabilitációt végeztünk.